МРТ внутрішнього вуха у Хмельницькому
| Найменування послуги | Ціна, грн | Ціна з контрастом |
|---|---|---|
| МРТ спеціалізоване внутрішнього вуха й мосто-мозочкового кута | 1950 | 3350 |
| МРТ головного мозку та внутрішнього вуха й мосто-мозочкового кута спеціалізоване | 2550 | 3750 |
| Запис диску - 50 грн. Друк плівки - 200 грн. |

Точна діагностика порушень слуху та рівноваги
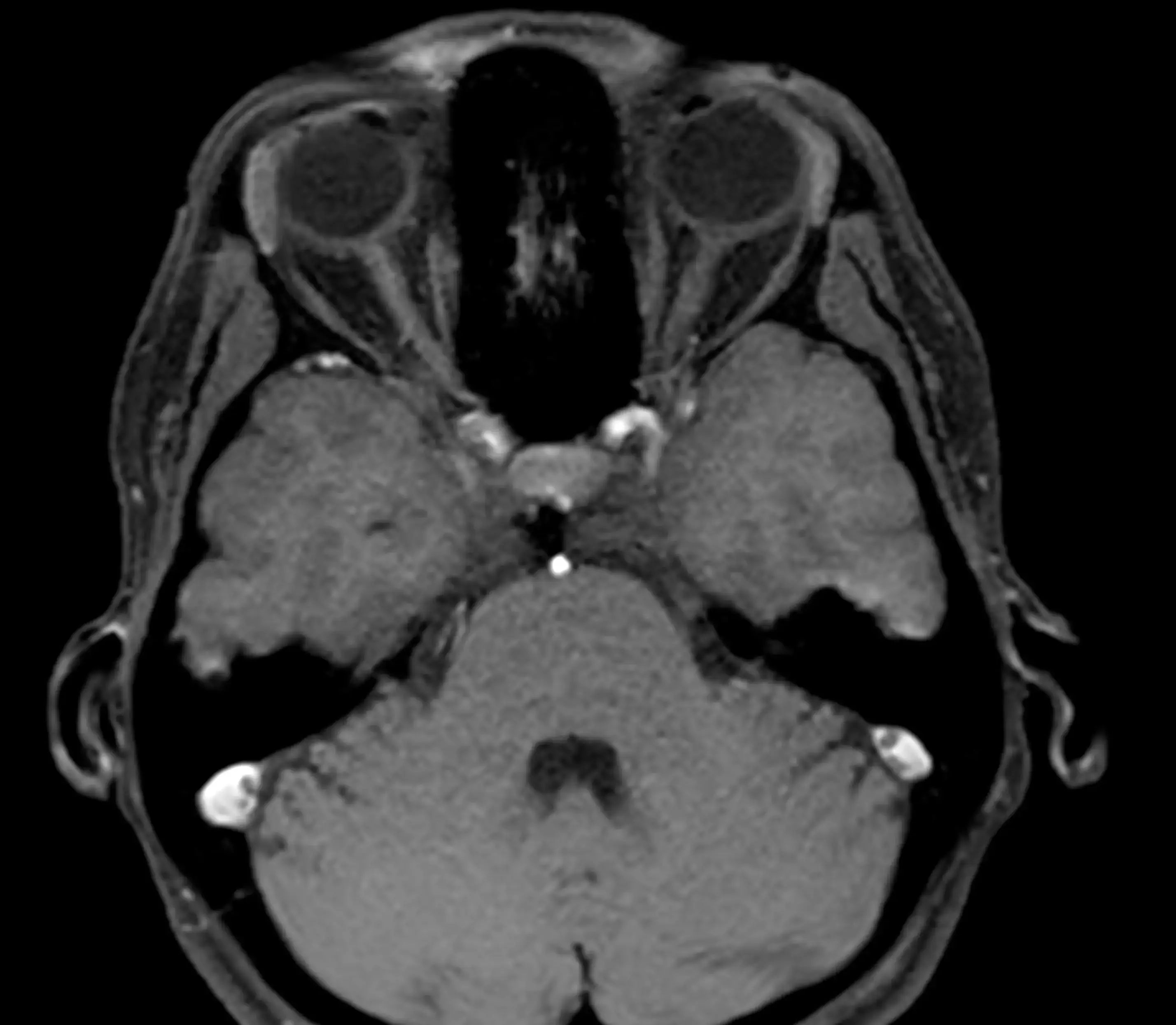
МРТ внутрішнього вуха — це сучасний метод обстеження, який дозволяє детально дослідити структури внутрішнього вуха, слуховий нерв та навколишні тканини.
Магнітно-резонансна томографія допомагає виявити причини порушення слуху, запаморочення та інших неврологічних симптомів без використання рентгенівського випромінювання.
Обстеження проводиться у відділенні «Ультрадіагностика» на базі Обласної лікарні м. Хмельницький.
Коли призначають МРТ внутрішнього вуха
Лікар може рекомендувати обстеження при:
- раптовому або поступовому зниженні слуху
- шумі у вухах (тинітус)
- частому запамороченні
- порушенні рівноваги
- підозрі на невриному слухового нерва
- хворобі Меньєра
- запальних процесах
- травмах області голови
- підозрі на пухлини
Що показує МРТ внутрішнього вуха
МРТ дозволяє виявити:
- невриному слухового нерва
- пухлини внутрішнього слухового каналу
- запальні процеси
- патології лабіринту
- судинні порушення
- аномалії розвитку внутрішнього вуха
- наслідки травм
МРТ з контрастом
У деяких випадках для більш точного дослідження використовується контрастування, яке дозволяє:
- точніше визначити пухлинні процеси
- оцінити стан слухового нерва
- уточнити запальні зміни
Контрастна речовина вводиться внутрішньовенно та добре переноситься більшістю пацієнтів.
Як проходить процедура
- Пацієнт заповнює анкету безпеки
- Знімає всі металеві предмети
- Під час обстеження необхідно лежати нерухомо
- Тривалість дослідження — приблизно 20–30 хвилин
Процедура безболісна та не використовує рентгенівського випромінювання.