МРТ променезап’ясткового суглобу у Хмельницькому
| Найменування послуги | Ціна, грн | Ціна з контрастом |
|---|---|---|
| МРТ променево-зап’ясткового суглобу | 3150 | 3950 |
| Запис диску - 50 грн. Друк плівки - 200 грн. |

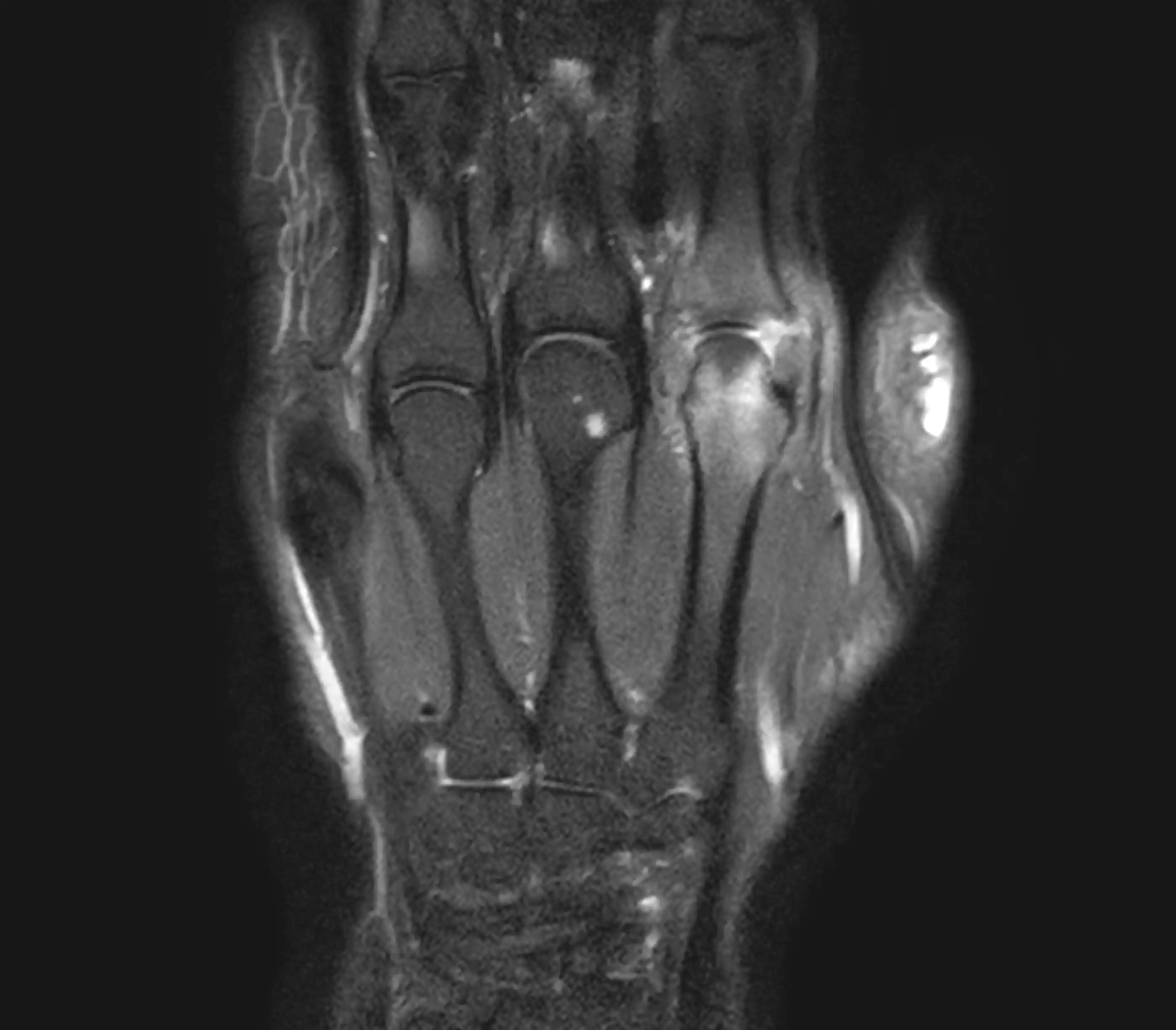
Точна діагностика болю та травм кисті
МРТ променезап’ясткового суглобу — це сучасний метод обстеження, який дозволяє детально оцінити стан кісток, зв’язок, сухожиль, хрящів, нервів та м’яких тканин у ділянці зап’ястя.
Магнітно-резонансна томографія допомагає виявити причини болю, обмеження рухливості та інші патологічні зміни у променезап’ястковому суглобі без використання рентгенівського випромінювання.
Обстеження проводиться у відділенні «Ультрадіагностика» на базі Обласної лікарні м. Хмельницький.
Коли призначають МРТ променезап’ясткового суглобу
Лікар може рекомендувати обстеження при:
- болю в області зап’ястя
- набряку або обмеженні рухливості кисті
- травмах кисті або зап’ястя
- підозрі на розрив зв’язок або сухожиль
- підозрі на переломи, які не видно на рентгені
- синдромі зап’ясткового каналу
- підозрі на запальні процеси
- хронічному болю в зап’ясті
Що показує МРТ променезап’ясткового суглобу
МРТ дозволяє виявити:
- пошкодження зв’язок
- розриви сухожиль
- запальні процеси
- дегенеративні зміни суглоба
- травматичні ушкодження
- патології хряща
- новоутворення
- ураження нервів
МРТ з контрастом
У деяких випадках для уточнення діагнозу може застосовуватися контрастна речовина, яка дозволяє:
- точніше визначити пухлинні процеси
- оцінити запальні зміни
- дослідити структуру тканин
Контраст вводиться внутрішньовенно та добре переноситься пацієнтами.
Як проходить процедура
- Пацієнт заповнює анкету безпеки
- Знімає всі металеві предмети
- Лягає на стіл томографа
- Під час дослідження потрібно лежати нерухомо
Тривалість обстеження зазвичай становить 20–30 хвилин.