МРТ плечового суглобу у Хмельницькому
| Найменування послуги | Ціна, грн | Ціна з контрастом |
|---|---|---|
| МРТ плечового суглобу | 2750 | 3950 |
| Запис диску - 50 грн. Друк плівки - 200 грн. |

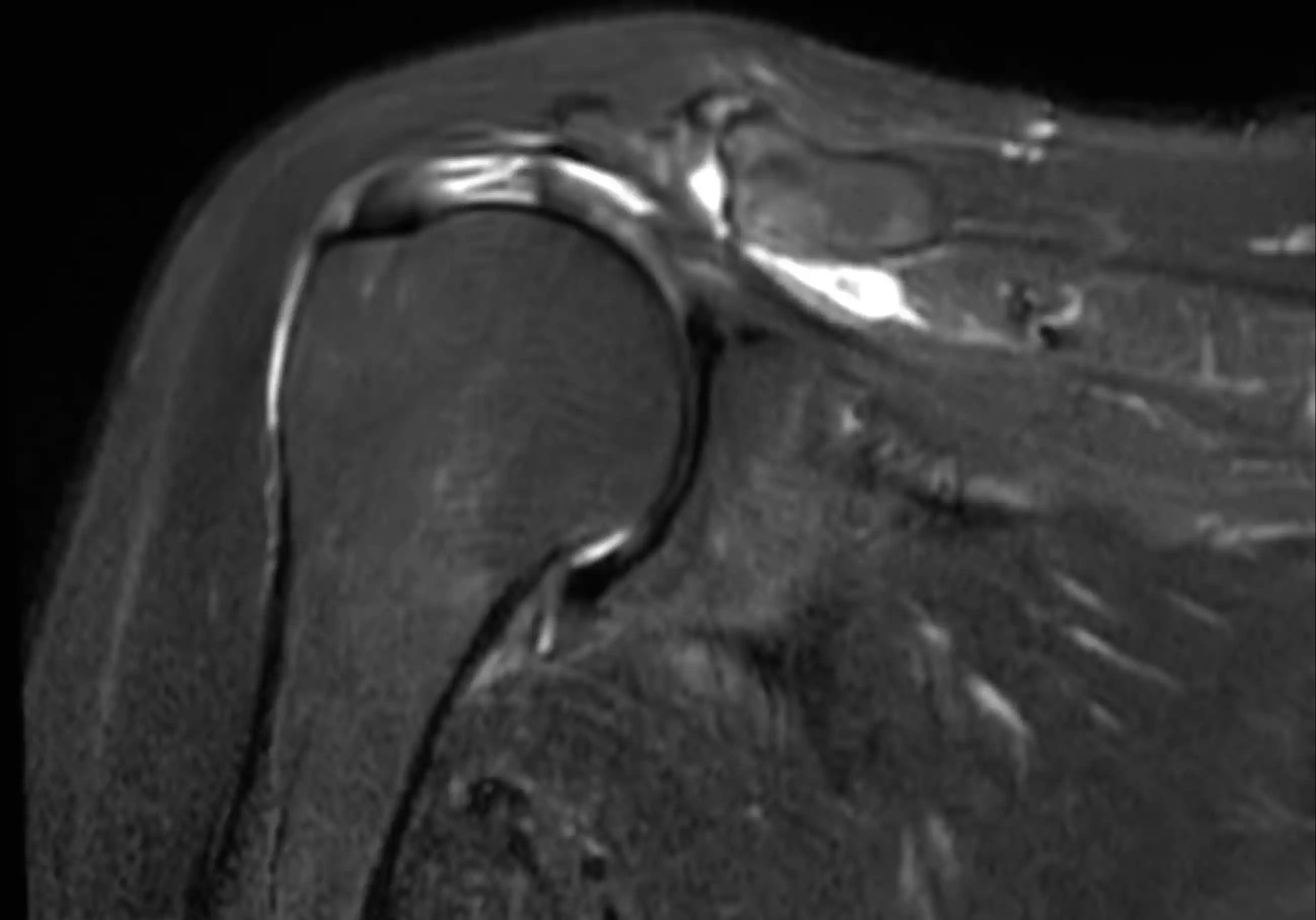
Точна діагностика травм і захворювань плеча
МРТ плечового суглобу — це сучасний метод обстеження, який дозволяє детально оцінити стан кісток, хрящів, зв’язок, сухожиль, м’язів та інших м’яких тканин плечового суглоба.
Магнітно-резонансна томографія є одним із найточніших методів діагностики патологій плеча і проводиться без використання рентгенівського випромінювання.
Обстеження проводиться у відділенні «Ультрадіагностика» на базі Обласної лікарні м. Хмельницький.
Коли призначають МРТ плечового суглобу
Лікар може рекомендувати обстеження при:
- болю в плечі
- обмеженні рухливості плечового суглоба
- підозрі на розрив зв’язок або сухожиль
- травмах плеча
- вивихах або підвивихах
- підозрі на запальні процеси
- хронічному болю в плечі
- підозрі на пухлини або кісти
- підготовці до оперативного лікування
Що показує МРТ плечового суглобу
МРТ дозволяє виявити:
- розриви зв’язок і сухожиль
- пошкодження ротаторної манжети плеча
- запальні процеси
- артроз плечового суглоба
- травматичні ушкодження
- патології хряща
- новоутворення
- зміни м’яких тканин
МРТ з контрастом
У деяких випадках для уточнення діагнозу може застосовуватися контрастування, яке дозволяє:
- точніше визначити пухлинні процеси
- оцінити запальні зміни
- дослідити структуру тканин
Контрастна речовина вводиться внутрішньовенно та добре переноситься більшістю пацієнтів.
Як проходить процедура
- Пацієнт заповнює анкету безпеки
- Знімає всі металеві предмети
- Лягає на стіл томографа
- Під час обстеження потрібно лежати нерухомо
Тривалість дослідження зазвичай становить 20–30 хвилин.