МРТ ока і очних орбіт у Хмельницькому
| Найменування послуги | Ціна, грн | Ціна з контрастом |
|---|---|---|
| МРТ ока і очних орбіт | 1950 | 3450 |
| МРТ головного мозку та орбіт спеціалізоване | 2550 | 3750 |
| Запис диску - 50 грн. Друк плівки - 200 грн. |

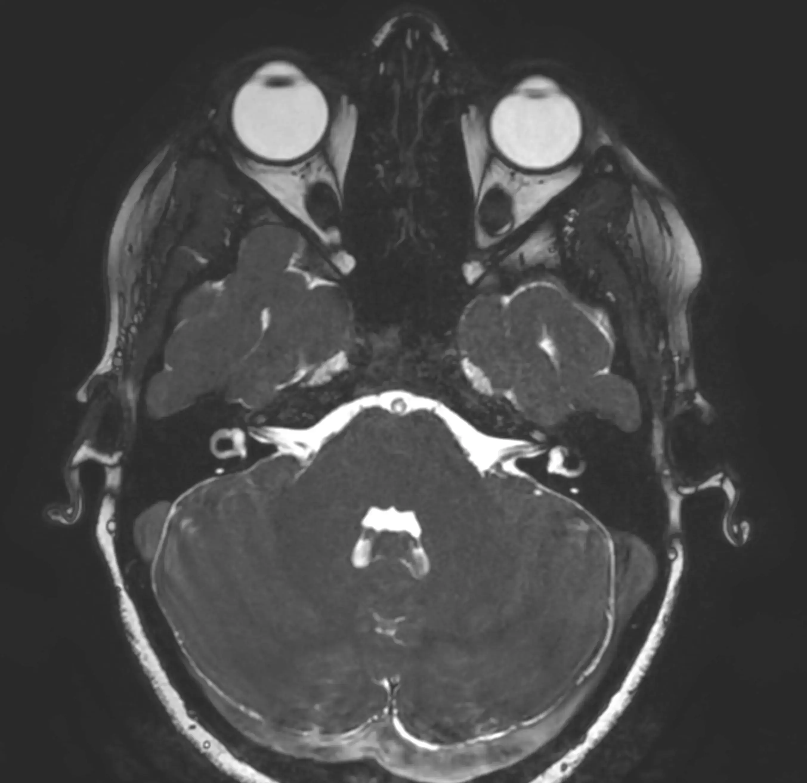
Точна діагностика захворювань органів зору
МРТ ока і очних орбіт — це сучасний метод обстеження, який дозволяє детально оцінити стан очних яблук, зорових нервів, м’язів ока та тканин очниці.
Магнітно-резонансна томографія дає можливість отримати високоточні зображення без використання рентгенівського випромінювання, що робить дослідження безпечним для пацієнтів.
Обстеження проводиться у відділенні «Ультрадіагностика» на базі Обласної лікарні м. Хмельницький.
Коли призначають МРТ очних орбіт
Лікар може рекомендувати обстеження при:
- погіршенні зору незрозумілого походження
- болю в області очей
- підозрі на пухлини орбіти
- травмах ока або очниці
- підозрі на запальні процеси
- випинанні очного яблука (екзофтальм)
- порушенні рухів очей
- ураженні зорового нерва
- підозрі на метастази
Що показує МРТ очних орбіт
Дослідження дозволяє виявити:
- пухлини очної орбіти
- запальні процеси
- патології зорового нерва
- травматичні ушкодження
- зміни очних м’язів
- судинні порушення
- вроджені аномалії
МРТ з контрастом
У деяких випадках для більш детального дослідження застосовується контрастування, яке дозволяє:
- точніше визначити пухлинні процеси
- оцінити кровопостачання тканин
- уточнити характер запальних змін
Контрастна речовина вводиться внутрішньовенно та добре переноситься більшістю пацієнтів.
Як проходить процедура
- Пацієнт заповнює анкету безпеки
- Знімає всі металеві предмети
- Під час обстеження потрібно лежати нерухомо
- Тривалість дослідження — приблизно 20–30 хвилин
МРТ є безболісною процедурою та не використовує рентгенівського випромінювання.