МРТ ліктьового суглобу у Хмельницькому
| Найменування послуги | Ціна, грн | Ціна з контрастом |
|---|---|---|
| МРТ ліктьового суглобу | 3150 | 3950 |
| Запис диску - 50 грн. Друк плівки - 200 грн. |

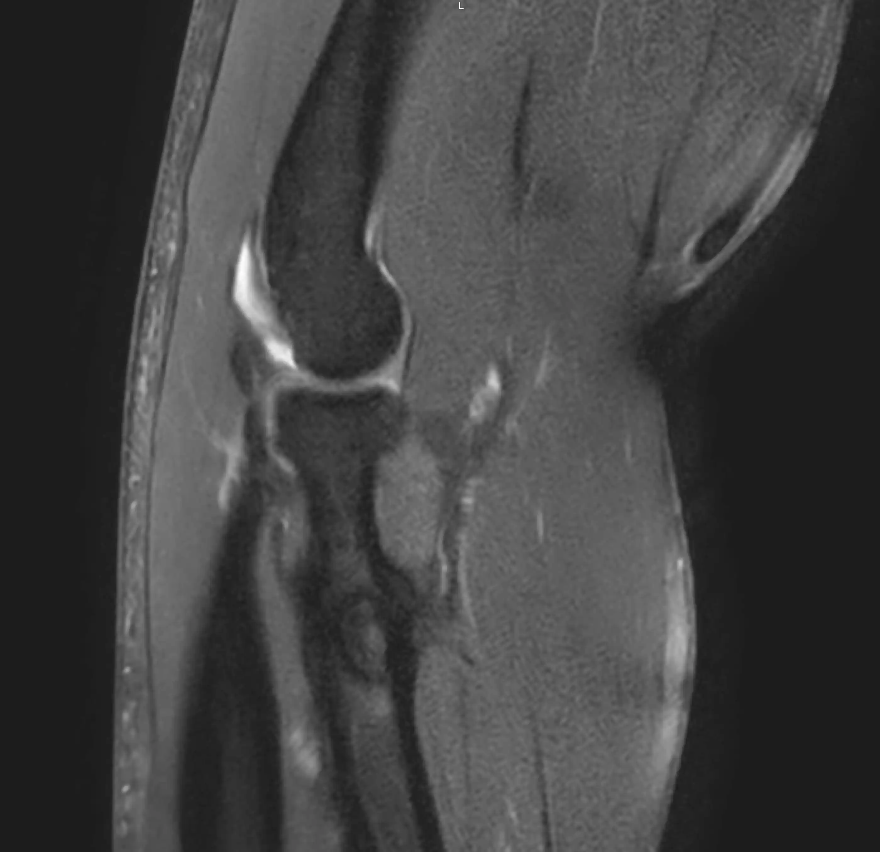
Точна діагностика травм і захворювань ліктя
МРТ ліктьового суглобу — це сучасний та високоточний метод обстеження, який дозволяє детально оцінити стан кісток, зв’язок, сухожиль, хрящів, нервів та м’яких тканин у ділянці ліктя.
Магнітно-резонансна томографія допомагає виявити причини болю, обмеження рухливості та інших патологічних змін у ліктьовому суглобі без використання рентгенівського випромінювання.
Обстеження проводиться у відділенні «Ультрадіагностика» на базі Обласної лікарні м. Хмельницький.
Коли призначають МРТ ліктьового суглобу
Лікар може рекомендувати обстеження при:
- болю в лікті
- обмеженні рухливості руки
- підозрі на розрив зв’язок або сухожиль
- травмах ліктьового суглобу
- хронічному болю після фізичних навантажень
- підозрі на запальні процеси
- підозрі на новоутворення
- онімінні або поколюванні в області ліктя
Що показує МРТ ліктьового суглобу
МРТ дозволяє виявити:
- пошкодження зв’язок і сухожиль
- розриви м’язів
- запальні процеси
- артроз ліктьового суглобу
- травматичні ушкодження
- патології хрящової тканини
- новоутворення
- ураження нервових структур
МРТ з контрастом
У деяких випадках для уточнення діагнозу застосовується контрастування, яке дозволяє:
- точніше визначити пухлинні процеси
- оцінити запальні зміни
- дослідити структуру тканин
Контрастна речовина вводиться внутрішньовенно та добре переноситься більшістю пацієнтів.
Як проходить процедура
- Пацієнт заповнює анкету безпеки
- Знімає всі металеві предмети
- Лягає на стіл томографа
- Під час дослідження необхідно лежати нерухомо
Тривалість обстеження зазвичай становить 20–30 хвилин.