МРТ кульшових суглобів у Хмельницькому
| Найменування послуги | Ціна, грн | Ціна з контрастом |
|---|---|---|
| МРТ обох кульшових суглобів | 3150 | 3950 |
| Запис диску - 50 грн. Друк плівки - 200 грн. |

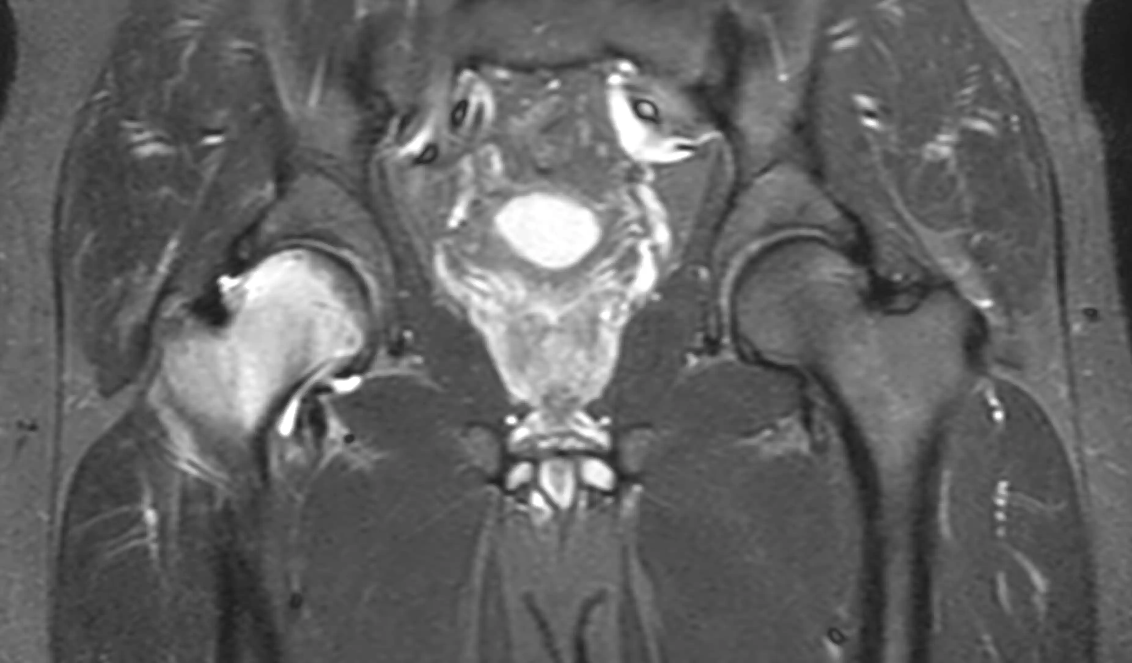
Точна діагностика болю в тазостегновому суглобі
МРТ кульшових суглобів — це сучасний та високоточний метод обстеження, який дозволяє детально оцінити стан кульшових суглобів, кісток, хрящів, зв’язок, м’язів та навколишніх м’яких тканин.
Магнітно-резонансна томографія допомагає виявити причини болю в тазостегновому суглобі та діагностувати різні захворювання без використання рентгенівського випромінювання.
Обстеження проводиться у відділенні «Ультрадіагностика» на базі Обласної лікарні м. Хмельницький.
Коли призначають МРТ кульшових суглобів
Лікар може рекомендувати обстеження при:
- болю в області кульшового суглоба
- обмеженні рухливості ноги
- травмах тазостегнового суглоба
- підозрі на артроз або артрит
- підозрі на запальні процеси
- болю, що віддає в пах або стегно
- підозрі на некроз головки стегнової кістки
- підозрі на пухлини або кісти
Що показує МРТ кульшових суглобів
МРТ дозволяє виявити:
- артроз кульшового суглоба
- запальні процеси
- ушкодження хряща
- асептичний некроз головки стегнової кістки
- травматичні ушкодження
- новоутворення
- патології м’яких тканин
- зміни зв’язок і сухожиль
МРТ з контрастом
У деяких випадках для уточнення діагнозу може застосовуватися контрастування, яке дозволяє:
- точніше визначити пухлинні процеси
- оцінити запальні зміни
- дослідити структуру тканин
Контрастна речовина вводиться внутрішньовенно та добре переноситься більшістю пацієнтів.
Як проходить процедура
- Пацієнт заповнює анкету безпеки
- Знімає всі металеві предмети
- Лягає на стіл томографа
- Під час обстеження необхідно лежати нерухомо
Тривалість дослідження зазвичай становить 20–30 хвилин.