МРТ гомілково-ступневого суглобу у Хмельницькому
| Найменування послуги | Ціна, грн | Ціна з контрастом |
|---|---|---|
| МРТ гомілки | 3150 | 3950 |
| МРТ ступні | 3150 | 3950 |
| Запис диску - 50 грн. Друк плівки - 200 грн. |

Точна діагностика травм та захворювань стопи
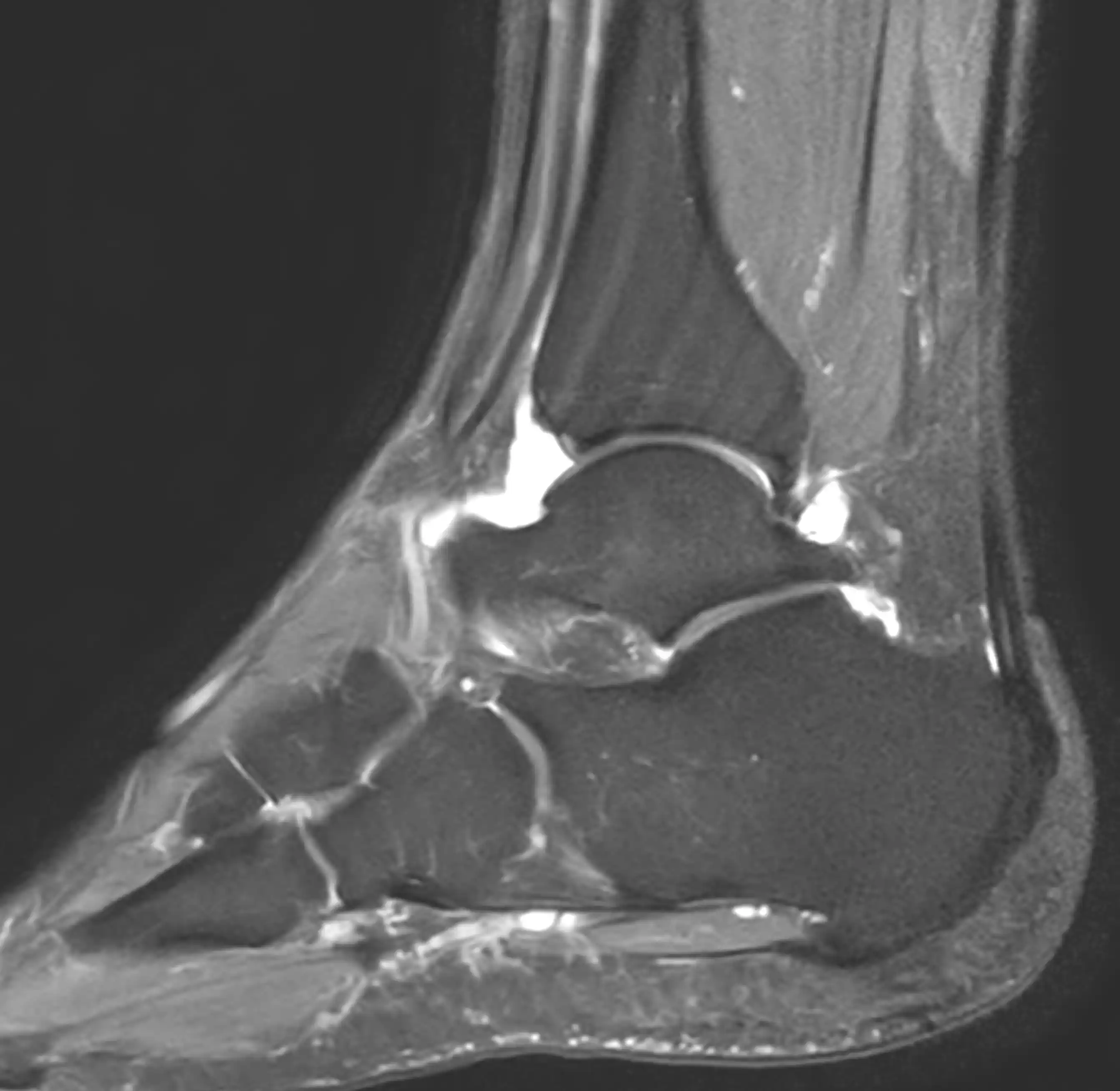
МРТ гомілково-ступневого суглобу — це сучасний та високоточний метод обстеження, який дозволяє детально оцінити стан кісток, зв’язок, сухожиль, хрящів та м’яких тканин у ділянці гомілково-ступневого суглоба.
Магнітно-резонансна томографія допомагає точно визначити причину болю в області стопи та гомілки без використання рентгенівського випромінювання.
Обстеження проводиться у відділенні «Ультрадіагностика» на базі Обласної лікарні м. Хмельницький.
Коли призначають МРТ гомілково-ступневого суглобу
Лікар може рекомендувати обстеження при:
- болю в області гомілково-ступневого суглоба
- травмах стопи або гомілки
- підозрі на розрив зв’язок
- підозрі на пошкодження сухожиль
- набряку або припухлості суглоба
- обмеженні рухливості стопи
- хронічному болю після травми
- підозрі на запальні процеси
- підозрі на новоутворення
Що показує МРТ гомілково-ступневого суглобу
МРТ дозволяє виявити:
- пошкодження зв’язок
- розриви сухожиль
- травматичні ушкодження суглоба
- запальні процеси
- дегенеративні зміни
- ушкодження хрящової тканини
- патології м’яких тканин
- новоутворення
МРТ з контрастом
У деяких випадках для уточнення діагнозу застосовується контрастування, яке допомагає:
- точніше визначити пухлинні процеси
- оцінити запальні зміни
- дослідити структуру тканин
Контрастна речовина вводиться внутрішньовенно та добре переноситься більшістю пацієнтів.
Як проходить процедура
- Пацієнт заповнює анкету безпеки
- Знімає всі металеві предмети
- Лягає на стіл томографа
- Під час обстеження необхідно лежати нерухомо
Тривалість дослідження зазвичай становить 20–30 хвилин.